ACHIEVE
THE SMILE
YOU DESIRE
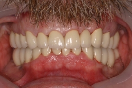
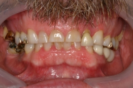
We take the time to listen to our patients’ needs, preferences, and goals before planning any treatments at our practice. Whether it is a combination of cosmetic options for a total smile makeover, or a single treatment such as teeth whitening, Invisalign® orthodontics or dental bonding, Dr. Gary G. Fong personalizes your treatment plan to help you achieve the results you desire. We have helped many people from throughout San Francisco, including Alameda County and Hayward, with smile makeover plans customized to meet their specific needs and goals. View the before-and-after images in our smile gallery below featuring just a sampling of our satisfied patients and the amazing transformations created by our cosmetic dentist.

A dentist and educator based in Hayward, Dr. Gary G. Fong has been providing his patients exceptional dental care for decades. Offering teeth whitening, porcelain veneers, dental implants, and other cosmetic dentistry and general dentistry treatments, Dr. Fong is able to improve your dental health and enhance the beauty of your smile.